Diagnosi specialistica veterinaria
Questa pagina contiene notizie a carattere divulgativo di patologie che si presentano frequentemente negli animali da compagnia. Non essendo un trattato scientifico, si invitano i visitatori del sito ad approfondire le relative notizie qui riportate presso il medico veterinario di fiducia.
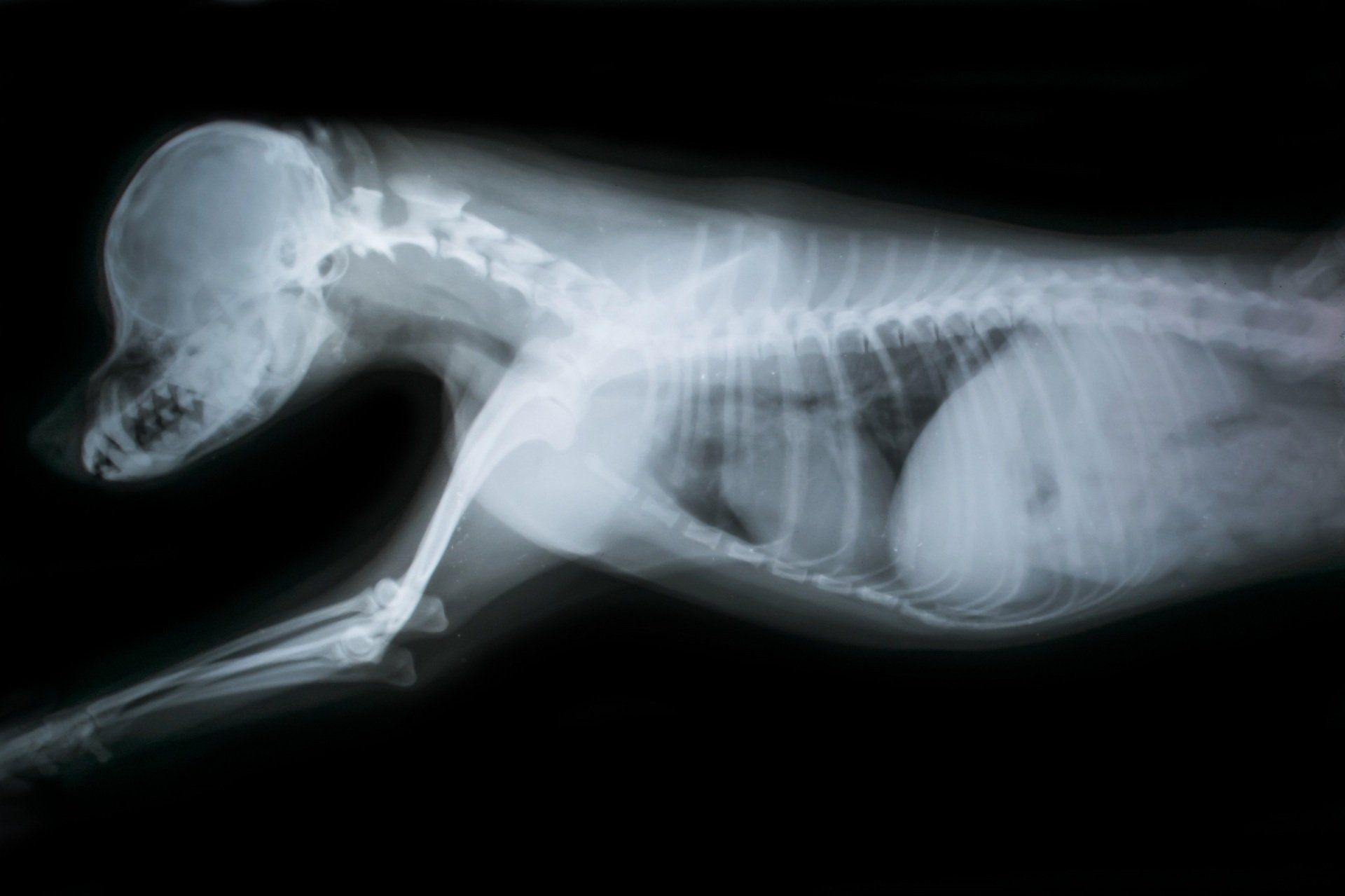
Radiologia clinica veterinaria
La radiografia è uno strumento importante che può aiutarci a fare una diagnosi corretta.
Una radiografia è un “tipo di fotografia” che può guardare all'interno del corpo e rivelare immagini che non possono essere, in alcun modo, rilevabili dall'esterno. La radiografia può essere utilizzata per valutare quasi ogni organo del corpo. Gli studi radiografici sono indispensabili nel primo approccio, soprattutto per le patologie dell’apparato locomotore.
La nostra clinica dispone di un apparecchio radiologico di ultima generazione ad alta frequenza con acquisizione digitale delle immagini radiografiche di alta definizione, che permette al medico di acquisire delle immagini in breve tempo. Grazie all'alta risoluzione delle radiografie, possiamo facilmente vedere organi in tutti gli animali, da uno più piccolo a uno grande. Possiamo valutare le diverse condizioni di salute, come ad esempio le masse tumorali, corpi estranei, le fratture delle ossa, patologie articolari, gravidanza e tutto quello che può essere rilevato con alta precisione e definizione dell'immagine.
Previa sedazione dell'animale, si possono realizzare radiografie dentali che permettono al medico di valutare la salute delle radici dei denti e identificare una serie di problemi che non sono visibili alla visita odontostomatologica tra cui: tumori, inclusioni dei denti, fratture, ascesso della radice del dente
Referente ufficiale della FSA: la clinica è autorizzata per eseguire gli studi radiografici della displasia dell’anca e del gomito, come struttura referente del territorio per conto della F.S.A. accreditata dall’E.N.C.I., per il controllo delle patologie ereditarie per la riproduzione selezionata di tutte le razze iscritte nel libro genealogico del E.N.C.I. (Disciplinare Ministeriale n. 20668 del 12.03.2002).
Ecografia clinica veterinaria
L'ecografia viene considerata, insieme alla radiografia, un metodo d’indagine per immagini di base. Si tratta di un metodo non invasivo perché consente di operare senza sedazione in animali in condizioni critiche. È basato sull’utilizzo degli ultrasuoni di altissima frequenza (2 -10 MHz) per indagare diverse strutture all’interno dell’organismo animale.
L'ecografia addominale e l'ecocardiografia (ecografia del cuore) ci permette di guardare la consistenza e le dimensioni di alcuni organi nell'addome e al torace, dandoci più informazioni di quelle radiografiche. L'ecografia, nella maggior parte dei casi, può essere fatta con il soggetto sveglio. I peli vanno rasati dall'addome o del torace e l'alcol viene utilizzato per bagnare la pelle, fornendo una migliore trasmissione delle onde sonore. Una piccola sonda viene posta sulla pelle sopra l'addome o il torace e le onde sonore rimbalzano dagli organi e l'immagine viene visualizzata su un monitor. L'ecografia può essere utilizzata per ottenere biopsie eco guidate o di ago aspirati del fegato, per il drenaggio di liquidi dal sacco pericardico.
L' ecografia del cuore (ecocardiografia) è il metodo più utile per la valutazione di una patologia cardiaca. Con gli ultrasuoni, un veterinario può guardare dentro il cuore, nelle camere, e visualizzare le valvole, lo spessore delle pareti i flussi di sangue. Questo test può escludere o confermare una diagnosi e aiutare a determinare la gravità di un'anomalia.
L'ecografia addominale semplifica le diagnosi di malattia interna, fornendo una chiara visione dell'interno dell'addome del paziente. Alcune delle ragioni più comuni per l'ecografia addominale sono: malattie del fegato o renali, malattia della vescica urinaria, masse addominali, malattie del pancreas, screening delle neoplasie, gravidanze.
Laboratorio di analisi
Quando gli animali sono malati, il tempo è l'essenziale. Prima otteniamo i risultati di laboratorio, prima possiamo formulare una diagnosi. Per ridurre i tempi di risposta, il nostro laboratorio interno è in grado di elaborare i test di laboratorio più critici e fornire risposte nel minor tempo possibile. Abbiamo accesso di giorno e di notte per 365 giorni all'anno. Per i casi urgenti, i risultati dell'esame del sangue possono essere disponibili rapidamente, per favorire la diagnosi e quindi applicare un trattamento adeguato, che è un grande vantaggio quando si tratta di situazioni d'emergenza.
I test diagnostici che possono essere eseguiti nel nostro laboratorio sono:
- test ematologici, biochimici, degli elettroliti nel sangue;
- gas analisi del sangue;
- esame delle urine e delle feci;
- test dei parassiti-malattie trasmesse dalle zecche;
- FIV e FeLV test nei gatti;
- test filaria su tutti i pazienti canini e felini;
- cPL screening pancreatite cane e gatto;
- valutazioni del glucosio (curva diabetica) nel sangue per i diabetici;
- test T4 felina per la diagnosi e il monitoraggio di ipertiroidismo;
- test cortisolo, malattia di Cushing;
- esami citologici e istologici;
- analisi dei liquidi (addominale, toracico, cefalorachidiano, articolare);
- analisi batteriologia per includere la coltura di organismi dai tamponi, fluidi, urine, ecc. con antibiogramma;
- colture fungine.
Naturalmente, non tutti i test diagnostici possono essere fatti in clinica. I campioni sono trasferiti quasi tutte le sere a laboratori esterni e i risultati sono solitamente disponibili il giorno successivo. Abbiamo un ottimo rapporto di collaborazione con questi laboratori e una squadra di patologi clinici sono sempre a disposizione per discutere i risultati. Il laboratorio che viene più comunemente usato è IDEXX laboratori in Germania. Questo laboratorio offre il più grande campo di applicazione delle analisi di laboratorio per campioni diagnostici veterinari è acclamato in tutto il mondo e si avvale di esperti in tutta Europa e negli Stati Uniti.




